Making fibrosis visible – before it’s too late

With planned ETH spin-off to market maturity

07-Jul-2025
Gian Marco Castelberg / ETH Zürich

Giuseppe Antoniazzi in the lab at ETH Zurich.

Giuseppe Antoniazzi is developing a diagnostic toolkit that gives early warning of fibrotic diseases. In doing so, this Pioneer Fellow wishes to contribute to the early detection of tissue scarring, which is usually noticed too late and can barely be halted, and enable countermeasures to be implemented.

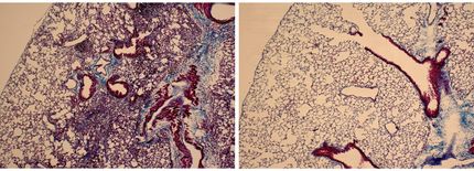
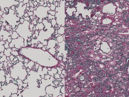
Fibrosis is a perfidious disease. Scar tissue increasingly and irreversibly replaces healthy tissue. The result is that organs such as the lungs, liver or kidneys lose function. In the case of the lungs, more than 80 percent of fibrosis are only detected at a late stage – when the tissue is already extensively scarred and can no longer be saved. Life expectancy for patients with lung fibrosis is then frequently no more than three to five years.

This is where Giuseppe Antoniazzi takes up the story. He earned his doctorate under Helma Wennemers, ETH Professor of Organic Chemistry, and as part of a Pioneer Fellowship, he builds on an invention from the Wennemers lab, which was awarded with the Spark Award in 2020, to develop a diagnostic tool aimed at detecting fibrotic diseases at an early stage. “We have developed a chemical probe that reacts to the activity of an enzyme that is regarded as a main driver of the fibrosis,” Antoniazzi explains. He is referring to lysyl oxidase, LOX for short – an enzyme that plays a pivotal role in the transformation of healthy tissue to scar tissue.

A fluorescent early warning system

The probe is as nondescript as it is effective: to the naked eye, it appears as a white powder that dissolves in water. When it encounters tissue – e.g. in the form of a biopsy – or bodily fluids in which LOX is active, it begins to fluoresce in a blue colour. “The crucial factor is that we can not only prove the presence of the enzyme but also that it is actually active,” Antoniazzi emphasises.

His aim is to use this probe to create a kind of early warning system. Because although LOX is also active in healthy tissue, the quantities involved are only very small. When fibrosis sets in, activity rises rapidly. “If we can detect this rise in good time, doctors can intervene at an early juncture – before the tissue is irreparably damaged,” Antoniazzi explains.

This probe, which enables early diagnosis of fibrotic disease, is a new development. Until now, lung fibrosis has usually been diagnosed by a process of elimination. A patient with a persistent cough is initially examined for various diseases. If no other explanation can be found, the only diagnosis left is often fibrosis. “This entire process can easily take two years – time during which the disease could already have been treated,” Antoniazzi says. Even hi-res computer tomography, regarded as the gold standard today, can only detect fibrosis when the tissue structure is already altered – which is too late.

The long road from the lab to the market

There is still a long way to go until clinical application. “At the beginning, we tested the probe primarily on tissue samples,” Antoniazzi continues. But biopsies are usually only conducted when the disease is already advanced. For that reason, he shifted his focus at the start of his fellowship to liquid samples such as blood serum. “If we could validate the probe for blood serum, that would represent a major step towards early diagnostics.”

Antoniazzi is planning to bring the probe to market with the planned ETH spin-off “FibroTech Solutions”. “We’re still in the early phase, but we now know exactly what we have to focus our validation on,” he says.

One of the earlier challenges has been to communicate the product in a comprehensible and convincing manner. “We have to find the best way to introduce a new diagnostic tool suitable with current procedures and requirements, and therefore, we also need to understand the market.” In the initial phase, Antoniazzi therefore focused on analysing the market environment – concentrating specifically on users.

One genuine highlight was taking part in ETH Zurich’s 3Pi competition: an opportunity to pitch his start-up in three minutes. “And I actually won third place, which was a great motivation boost,” Antoniazzi recalls. “I was overwhelmed by the amount of support there is at ETH Zurich and in Switzerland for young start-ups. You’re given expertise, time and a network because people believe in you.”

FibroTech Solutions is supported by a growing network of clinical partners, for example, the University Hospital of Zurich and the Zurich Children’s Hospital. Together, the team is testing various application areas – from pulmonary fibrosis to rare childhood diseases. “Our probe can basically be used on all forms of fibrosis,” Antoniazzi states. “But we have to set careful priorities in order to make precise use of our resources. Later, we can gradually extend our diagnostic toolkit.”

Other news from the department science

Most read news

More news from our other portals

So close that even
molecules turn red...

Something is happening in the life science industry ...

This is what true pioneering spirit looks like: Plenty of innovative start-ups are bringing fresh ideas, lifeblood and entrepreneurial spirit to change tomorrow's world for the better. Immerse yourself in the world of these young companies and take the opportunity to get in touch with the founders.

See the theme worlds for related content

Topic world Diagnostics

Diagnostics is at the heart of modern medicine and forms a crucial interface between research and patient care in the biotech and pharmaceutical industries. It not only enables early detection and monitoring of disease, but also plays a central role in individualized medicine by enabling targeted therapies based on an individual's genetic and molecular signature.

View topic world
Topic world Diagnostics

Topic world Diagnostics

Diagnostics is at the heart of modern medicine and forms a crucial interface between research and patient care in the biotech and pharmaceutical industries. It not only enables early detection and monitoring of disease, but also plays a central role in individualized medicine by enabling targeted therapies based on an individual's genetic and molecular signature.

Last viewed contents

New nanosensors make diagnostic procedures more sensitive - The nanosensors can be used to track reactions with invisible light, saving materials and time

New nanosensors make diagnostic procedures more sensitive - The nanosensors can be used to track reactions with invisible light, saving materials and time

Cyber Valley grants 500K to CELL’n’ROLL via 2023 Innovation Fellowship Program - Cyber Valley Community is advancing diagnostics for the future: Its goal is to create an innovative spin-off from the project after the funding term has ended

Cyber Valley grants 500K to CELL’n’ROLL via 2023 Innovation Fellowship Program - Cyber Valley Community is advancing diagnostics for the future: Its goal is to create an innovative spin-off from the project after the funding term has ended

Blood diagnostics modelled on leeches - For all those who are afraid of needles: New device for taking blood samples uses microneedles and a suction cup instead of a large needle

Blood diagnostics modelled on leeches - For all those who are afraid of needles: New device for taking blood samples uses microneedles and a suction cup instead of a large needle

AI personalises brain tumour therapy - Progress in the personalised treatment of brain tumours: AI identifies mutations

AI personalises brain tumour therapy - Progress in the personalised treatment of brain tumours: AI identifies mutations

En Carta Diagnostics secures €1.5M to advance diagnostic kit platform for early Lyme disease detection - Groundbreaking patented molecular diagnostic kit poised to provide game-changing autonomous Lyme detection in minutes

En Carta Diagnostics secures €1.5M to advance diagnostic kit platform for early Lyme disease detection - Groundbreaking patented molecular diagnostic kit poised to provide game-changing autonomous Lyme detection in minutes

Portable AI-based test kit to identify bacterial infections - Dutch scientist selected as a finalist for the Young Inventors Prize 2024: Her startup focuses on the most common types of infection

Portable AI-based test kit to identify bacterial infections - Dutch scientist selected as a finalist for the Young Inventors Prize 2024: Her startup focuses on the most common types of infection

Altona Diagnostics announces leadership transition - New General Managers appointed

Altona Diagnostics announces leadership transition - New General Managers appointed

New MRI technology makes cancer visible at an early stage - MRI signal amplified 24,000-fold: University start-up QuantView develops highly sensitive contrast agent

New MRI technology makes cancer visible at an early stage - MRI signal amplified 24,000-fold: University start-up QuantView develops highly sensitive contrast agent

Bruker to acquire the NanoString business in an asset deal

Bruker to acquire the NanoString business in an asset deal

Sartorius opens new Center of Excellence for bioanalytics in Ann Arbor - Manufacturing of instruments, consumables and reagents for cell and protein analysis

Sartorius opens new Center of Excellence for bioanalytics in Ann Arbor - Manufacturing of instruments, consumables and reagents for cell and protein analysis

When is genome sequencing advisable? - Human geneticists conduct clinical reference study for the diagnosis of genetic diseases

When is genome sequencing advisable? - Human geneticists conduct clinical reference study for the diagnosis of genetic diseases

HSBI researcher develops AI for more efficient cell segmentation - good for pharmaceutical research, for example

HSBI researcher develops AI for more efficient cell segmentation - good for pharmaceutical research, for example